ΔΕΙΤΕ ΠΡΩΤΟΙ ΟΛΑ ΤΑ ΝΕΑ ΤΟΥ TRIBUNE ΣΤΟ GOOGLE NEWS


















































ΔΕΙΤΕ ΠΡΩΤΟΙ ΟΛΑ ΤΑ ΝΕΑ ΤΟΥ TRIBUNE ΣΤΟ GOOGLE NEWS
Μια γυναίκα που ισχυριζόταν ότι άκουγε τον Θεό να της μιλάει, αποδείχτηκε ότι είχε όγκο στον εγκέφαλο. Η γυναίκα ήταν πεπεισμένη ότι άκουγε τον Θεό μέσα στο κεφάλι της και μάλιστα είχε αρχίσει να αυτοτραματίζεται μετά από κάθε «συνομιλία» της με τον Ύψιστο.
Η γυναίκα, που το όνομά της δεν έχει δοθεί στη δημοσιότητα, τράβηξε την προσοχή των επιστημόνων στο Πανεπιστήμιο της Βέρνης στην Ελβετία.
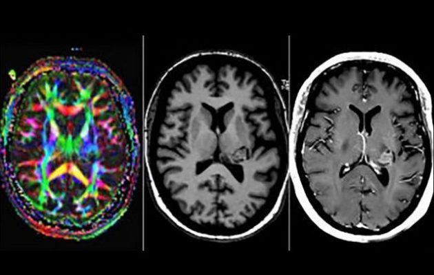
Αρχικά νόμιζαν ότι ήταν ψυχικά ασθενής, αλλά αυτή η «εύκολη» διάγνωση δεν ήταν αρκετή για τους επιστήμονες. Όταν της έκαναν μαγνητική τομογραφία ανακάλυψαν ότι είχε έναν όγκο που μεγάλωνε μέσα στον εγκέφαλό της.
Ο καθηγητής της Ψυχιατρικής Νευροεπιστήμης Σεμπάστιαν Βάλτερ (Sebastian Walther) δήλωσε:
«Ο όγκος εντοπίστηκε σε ένα δίκτυο που είναι ζωτικής σημασίας για την αντίληψη της ομιλίας, για αυτό άκουγε φωνές».
Εξαιτίας του όγκου που μεγάλωνε η γυναίκα άρχισε και είχε συμπτώματα παρόμοια της σχιζοφρένειας.
Ακουστικές ψευδαισθήσεις, συμπεριλαμβανομένης της ακοής φωνών που αποδίδονται στο Θείον είναι σχετικά συχνά συμπτώματα σε ψυχιατρικούς ασθενείς.
Ακαδημαϊκοί που έχουν περάσει χρόνια έρευνας στη σχιζοφρένεια, πιστεύουν ότι η συγκεκριμένη υπόθεση θα βοηθήσει καλύτερα στην κατανόηση του θέματος.
Το βλέπουν ως απόδειξη ότι τα σχιζοφρενικά συμπτώματα δεν προκαλούνται σε ολόκληρο τον εγκέφαλο, αλλά μέσα από ειδικές διαταραχές σε ορισμένες περιοχές.























































